TEAM MEDICAL
各分野の「専門家」による
「チーム医療」を実践
「専門医・認定医・指導医」が在籍
講師経験者や著書をもつドクターも!
- 「インプラント」の専門家
- 「小児歯科」の専門家
- 「口腔外科」の専門家
- 「歯周病」の専門家
- 「根管治療」の専門家
- 「矯正歯科」の専門家
- 「セラミック治療」の専門家

院長
近藤 慎也
歯周病/矯正/根管治療/口腔外科
- ・徳島大学歯学部 卒業
- ・バイオインテグレーション学会(BIS)会員 インプラント専門医
- ・日本口腔インプラント学会会員
- ・AO(Academy of Osseointegration)active member
- ・EAO(European Association for Osseointegration)member
- ・OJ(Osseointegration study club of Japan)正会員
- ・BSC(bioprogressive study club)正会員
- ・ITI(International for Implantology) member
- ・インプラント再建歯学研究会会員
- ・AAE (American Association of Endodontists)会員
- ・上尾中央総合病院口腔外科非常勤医


歯科医師
橋本 太一朗
一般/外科
- ・岩手医科大学歯学部 卒業
- ・日本口腔外科学会 認定医
- ・岩手医科大学臨床研修センター 研修医
- ・鶴見大学 顎顔面外科学講座 入局
- ・EAO(European Association for Osseointegration)member
- ・上尾中央総合病院 歯科口腔外科 勤務
歯科医師
新井 敬
小児歯科/高齢者治療
- ・東京歯科大学 歯学部 歯学科 卒業
- ・日本障害者歯科学会認定医
- ・臨床研修歯科医師 東京歯科大学 修了
- ・東京歯科大学 歯学研究科 小児歯科学講座 修了
- ・東京医薬専門学校 言語聴覚士科2年制 卒業


歯科医師
覚本 貴仁
インプラント
- ・東京歯科大学 卒業
- ・ニューヨーク大学歯学部(NYUCD)歯周・インプラント科に留学
- ・NYUCD インプラント科 レジデント
- ・NYUCD Advanced Program in Implant Dentistry 卒業
- ・国際インプラント学会 指導医/認定医
- ・Dental Prediction インプラント部門講師
- ・インビザラインドクター
- ・日本歯科放射線学会 歯科エックス線 優良医
- ・アメリカインプラント学会 active member
- ・日本口腔インプラント学会 会員
- ・インプラント再建歯学研究会 会員
- ・スタディグループ歯想会 理事
- ・著書:「最新インプラント治療 -最先端の歯科治療を安全に受けるために-」「歯の健康を保つ知識」



歯科技工士
大曽根 慎也
- 新東京歯科技工士学校
- 有限会社インパラーレ勤務
- 有限会社ナチュラルセラミック勤務
- Irida Dental Lab 開業
- ・新東京歯科技工士学校 非常勤講師
- ・日本口腔インプラント学会 会員
- ・新東京歯科技工士学校「技新会」理事
- ・日本臨床歯科補綴学会基本8ヶ月コース
- ・湯浅セミナー2期
- ・シークエンシャル咬合ベーシックコース

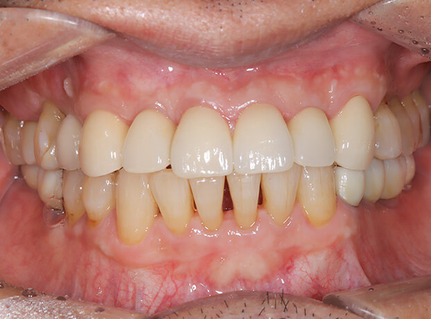
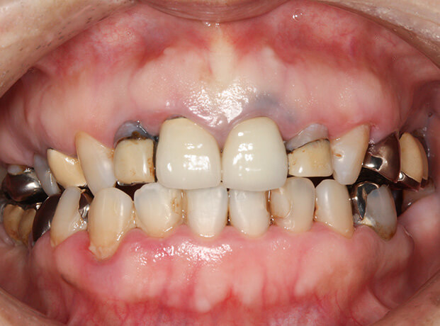
症例 1

ボロボロの歯を総合的に治療したケース。虫歯と歯周病の進行を止め、抜けている部分はインプラント治療をしたケース。
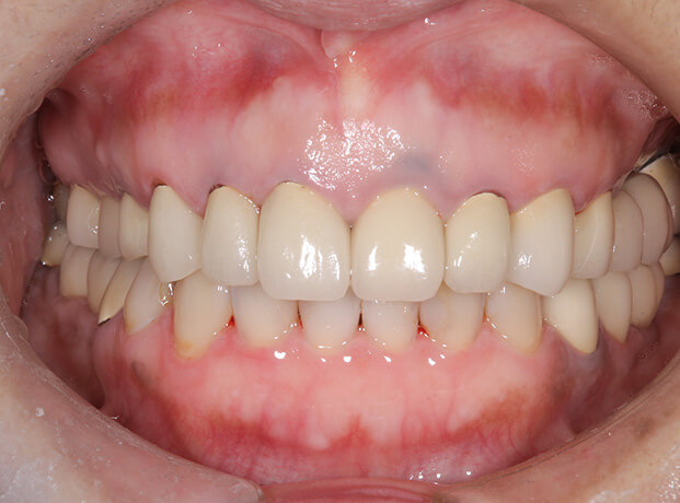
症例 2

保険治療の繰り返しで審美性に問題があったケース。インプラントやセラミック治療でキレイに改善。
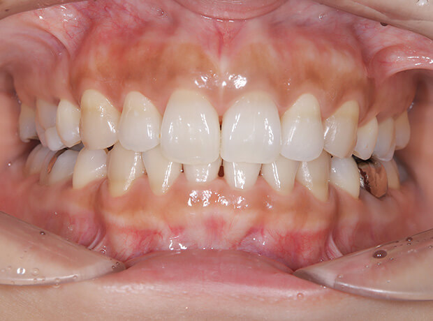
症例 3

ガチャガチャの歯並びを矯正歯科で整えたケース。






























































