ボロボロの歯の治療は保険適用外となります
諦めないで。
ボロボロの歯の治療、まだ間に合います。
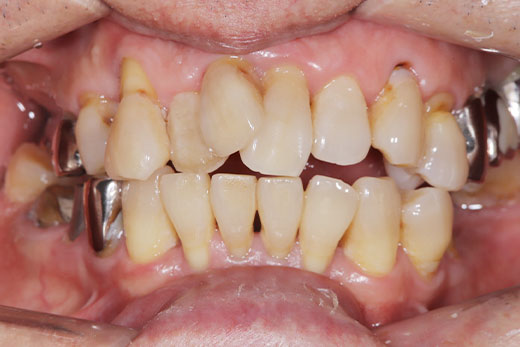
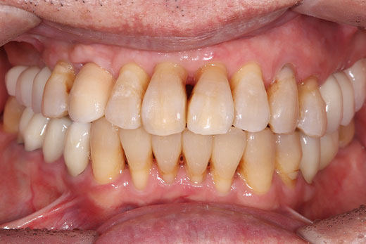
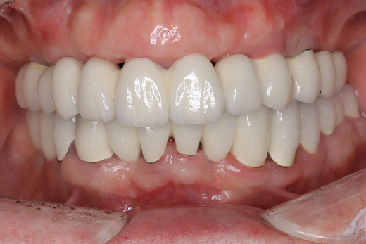
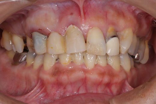
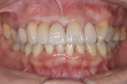
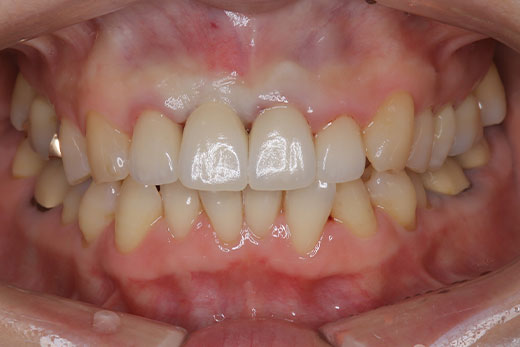
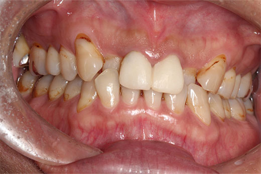
ボロボロの歯を包括治療で改善させたケース
ボロボロの歯を包括治療で改善させたケース
ボロボロの歯を包括治療で改善させたケース
ボロボロの歯を包括治療で改善させたケース
ボロボロの歯を包括治療で改善させたケース
ボロボロの歯を包括治療で改善させたケース
ボロボロの歯を包括治療で改善させたケース
ボロボロの歯を包括治療で改善させたケース
ボロボロの歯の治療は保険適用外となります


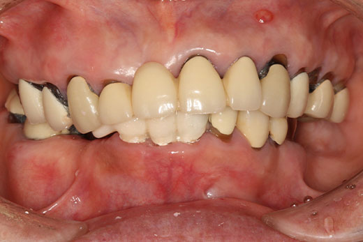
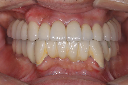
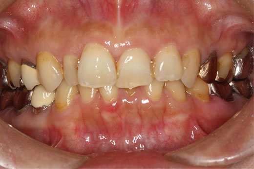
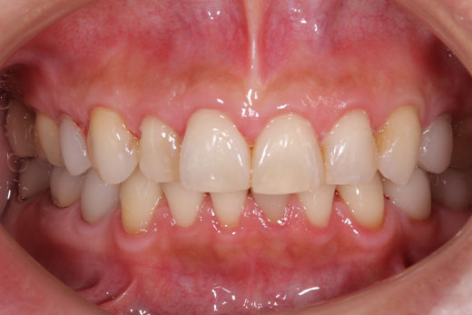
ボロボロの歯を包括治療で改善させたケース


ボロボロの歯を包括治療で改善させたケース


ボロボロの歯を包括治療で改善させたケース


ボロボロの歯を包括治療で改善させたケース


ボロボロの歯を包括治療で改善させたケース


ボロボロの歯を包括治療で改善させたケース


ボロボロの歯を包括治療で改善させたケース


ボロボロの歯を包括治療で改善させたケース

歯がボロボロになってしまった方のお悩みは深刻です。例えば、当院には次のような相談が寄せられます。
「人前で思いっきり笑えない・・・」
「発音がしっかりできない・・・」
「食事を楽しめない/美味しくない・・・」
このように進行してしまった背景には、長期間、虫歯や歯周病を放置していたことが考えられます。患者さんに話を伺うと、多くの方が歯科医院へ再び足を運びたくないと感じさせるような過去の不快な体験されています。例えば、
・治療時の痛みが強く耐えられなかった
・一方的に治療を進められて嫌な思いをした
・高額な治療ばかりすすめられた
といった体験です。これでは患者さんが歯医者から足が遠のくのは当然です。当院では、患者さんとのコミュニケーションを大切にし、患者さんの負担を軽減した治療を行っています。そのための取り組みについて、具体的にご紹介します。

治療時の痛みや不快感がトラウマとなる患者さんは多いです。しかし、これらは歯科医院側が努力することで、可能な限り抑えることができます。当院では、下記を行うことで、治療時の痛みや不快感を軽減しています。
●2STEP麻酔法
●睡眠無痛治療(静脈内鎮静法)
それぞれご説明します。
表面麻酔

麻酔注射をする部位に、あらかじめ麻酔薬を塗布することで、注射時の痛みを軽減させます。
電動麻酔

麻酔液を一気に注入すると、痛みを感じるやすくなります。電動麻酔注射で注入速度を一定にし、痛みを軽減します。
その他にも、麻酔液を人肌程度に温める、極細の針を使用するなどの工夫をしています。また、お口の中には痛みを感じやすい部位と感じにくい部位があるため、痛みを感じにくい部位を狙って注射をします。

歯医者と聞くと「キュイ~ン」という音を連想する方もいらっしゃるかもしれません。あの音の正体はタービンと呼ばれるドリルです。タービンの音や振動にストレスを感じる患者さんは少なくありません。
そこで当院では、5倍速コントラと呼ばれるドリルを積極的に活用しています。タービンよりも振動が少なく、音も静かなため、治療中のストレスが軽減できます。

ここまで痛みや不快感を軽減するさまざまな取り組みをご紹介しました。しかし、まだまだ歯科治療に対して恐怖感や苦手意識をお持ちの方もいらっしゃると思います。
そうした方にお勧めなのが、「睡眠無痛治療(静脈内鎮静法)」です。鎮静剤を点滴で投与し、ウトウトとした状態で治療を受けられます。そのため、治療時の記憶はほとんどなく、「眠って起きたら治療が終わっていた」と仰る患者さんもいらっしゃるほどです。歯科恐怖症の方をはじめ、嘔吐反射の強い方などに特におすすめしています。


当院では、患者さんへの説明を丁寧に行うことを大切にしています。治療を受けられるのは患者さんですから、歯科医師が一方的に治療を進めることは絶対にしません。
患者さんのお話を伺い、お一人おひとりに最適な治療計画を立案させていただきます。また、検査や診断の結果についても、患者さんが理解、納得できるまで丁寧にお伝えし、患者さんの了承を得てから治療を開始します。

歯医者へ苦手意識をお持ちの方にとって、治療期間が長期化するのは大きなストレスになります。そこで当院では、「短期集中治療」を行っております。標準的な治療期間よりもスピーディーに治療を完了させることができます。 詳しくご説明します。

治療に入る前に、まず詳細な全体の治療プランを立てます。これにより、どの治療ステップを一緒に行うことが可能かが明らかになるため、通常よりも長く治療時間を確保し、複数の治療を一度に実施します。このアプローチにより、通院回数を減らし、治療全体の期間を短縮することが可能になります。

マイクロスコープ、CTスキャン、歯科用レーザーなどの高精度歯科機器を駆使することにより、治療の正確性を向上させるとともに、治療期間を短くすることが可能です。

インプラントや被せ物等は歯科医師の指示のもと、歯科技工士が製作します。当院では、「Irida Dental Lab」の代表を務める大曾根慎也氏と連携しています。大曾根氏が体表を務めるIrida Dental Labについての詳細は、こちらからご覧ください。

自分のお口の状態を状況を他人に聞かれたくないというのは自然な感情です。当院では個室の診療室、オペ室、カウンセリングルームを完備しています。治療中の様子や会話が外部に漏れることありませんので、どのようなご相談でも安心してお話いただけます。

ボロボロの歯の治療には包括的なアプローチが必要不可欠です。当院には、各専門分野に熟知した歯科医師が揃っているため、歯に関する包括的な治療を提供することができます。

| 2006年 | 徳島大学歯学部 卒業 |
|---|---|
| 2007年 | 徳島大学臨床研修課程 研修 |
| 2008年 | 徳島大学歯学部第二補綴科 |
| 2009年~2022年 | 平井歯科医院(文京区)勤務 |
| 2010年~ | 上尾中央総合病院口腔外科(埼玉県)勤務(非常勤) |

| 2012年 | 岩手医科大学歯学部 卒業 |
|---|---|
| 2013年 | 岩手医科大学歯科医師卒業後臨床研修センター 研修医 |
| 鶴見大学 顎顔面外科学講座 入局 | |
| 2014年 | 上尾中央総合病院 歯科口腔外科 勤務 |

| 2014年 | 私立東京歯科大学 歯学部 歯学科 卒業 |
|---|---|
| 第107回 歯科医師国家試験 合格 | |
| 臨床研修歯科医師 東京歯科大学 研修開始 | |
| 2015年 | 臨床研修歯科医師 東京歯科大学 修了 |
| 東京歯科大学 歯学研究科 小児歯科学講座 入局 | |
| 2019年 | 東京歯科大学 歯学研究科 小児歯科学講座 修了 |
| 文京区 平井歯科医院 非常勤講師 | |
| 2020年 | 東京医薬専門学校 言語聴覚士科2年制 入学 |
| 2021年 | 日本障害者歯科学会認定医 |
| 2022年 | 東京医薬専門学校 言語聴覚士科2年制 卒業 |

| 2013年 | 東京歯科大学 卒業 |
|---|---|
| 2014年 | 東京歯科大学 水道橋病院臨床研修医 |
| 2014年~2018年 | 都内歯科医院勤務 |
| 2018年 | 渡米 ニューヨーク大学歯学部(NYUCD)インプラント科留学 |
| 2018年~2020年 | NYUCD 歯周インプラント科 レジデント |
| NYUCD Advanced Program in Implant Dentistry 修了 |
当院では、患者さんが抱えていらっしゃるお口のお悩みや疑問・不安などにお応えする機会を設けております。どんなことでも構いませんので、私たちにお話ししていただけたらと思います。
ご興味がある方は下記からお問い合わせください。
