精密インプラント

キービジュアル

ご予約・お問い合わせ

047-702-8772

WEB予約

3,000本以上の実績

バイオインテグレーション学会
インプラント専門医 在籍

審美的にもれた
精密インプラント

  • 安心・安全の「コンピュータインプラント」
  • 睡眠無痛治療 5.5万円
  • 抜歯したその日に歯が入る「抜歯即時荷重」

たった4本のインプラントですべての歯を支える
オールオン4(All-on-4)」にも対応

  • 治療前
  • 治療後


向かって右側の上あご前歯に、抜歯即時荷重によるインプラント治療を行った。
治療期間は1年で、費用は60万円ほど。
定期的なメンテナンスを行わないと、インプラント周囲炎のリスクがある。



  • 治療前
  • 治療後

失われた上あご前歯を中心に治療。
ブロック骨移植による骨造成、結合組織移植、インプラント埋入3本、奥歯の部分矯正、セラミックによる被せ物など。
治療期間は1年6ヶ月。費用はおよそ200万円程度。
定期的なメンテナンスを行わないと、インプラント周囲炎のリスクがある。

当院のインプラント治療をご紹介します

画像

インプラント治療は「外科手術が必要」「治療に時間がかかる」などのことから、歯科の治療の中でも比較的患者さんの負担が大きいという側面があります。患者さんの負担を少しでも軽減するために、新浦安の歯医者「近藤歯科クリニック」では、さまざまな取り組みを行っています。

当院のインプラント治療について、詳しくご紹介します。

インプラントの専門家によるチーム医療

画像

当院の院長、近藤慎也は、国内外のインプラント学会に在籍し、その技量を認められたインプラント治療の専門家です。また、近藤の他にも、インプラント治療の指導医や認定医、口腔外科医が集結し、大学病院にも匹敵するチーム医療を実践しています。
インプラントの担当医を紹介します。

院長・近藤 慎也

院長・近藤 慎也
経歴
2006年徳島大学歯学部卒業
2008年徳島大学歯学部第二補綴科
2009年〜2022年平井歯科医院勤務(文京区)
2010年〜上尾中央総合病院 口腔外科 非常勤
資格・所属学会・団体
  • 日本口腔インプラント学会
  • AO(Academy of Osseointergration) active member
  • 日本バイオインテグレーション学会 会員
  • EAO(European Assosiation for Osseointegration) member
  • ITI member
  • BSC(bioprogressive study club) 正会員
  • OJ(Osseointegration study club of Japan) 正会員
  • American Association of Endodontists

歯科医師・覚本 貴仁

歯科医師・覚本 貴仁
経歴
2013年東京歯科大学卒業
2014年東京歯科大学水道橋病院臨床研修医
2014〜2018年都内歯科医院勤務
2018年ニューヨーク大学歯学部(NYUCD)インプラント科留学
2018〜2020年NYUCD歯周インプラント科レジデント
2020年NYUCD Advanced Program in Implant Dentistry 修了
資格・所属学会・団体
  • ICOI(International Congress of Oral Implantologists) 指導医・認定医
  • AO(Academy of Osseointegration) 会員
  • 日本口腔インプラント学会 会員
  • 日本歯科放射線学会 歯科エックス線優良医
  • インプラント再建歯学研究会 会員
  • スタディグループ歯想会 理事
  • Dental Prediction インプラント部門講師
  • インビザラインドクター

審美的にも優れたインプラント

画像

インプラントなどの人工歯は、人工歯作成の専門家である「歯科技工士」が作成します。当院のインプラント人工歯は、多くの歯科医医師から信頼されている歯科技工士、Irida Dental Lab代表の大曽根慎也氏が手がけています。

審美的にも優れたインプラントを提供しています。実際の症例写真をご覧頂ければ、周囲の歯と調和するその美しさがお分かりいただけると思います。

  • 治療前
  • 治療後

向かって右側の上あご前歯に、抜歯即時荷重によるインプラント治療を行った。治療期間は1年で、費用は60万円ほど。定期的なメンテナンスを行わないと、インプラント周囲炎のリスクがある。

  • 治療前
  • 治療後

失われた上あご前歯を中心に治療。ブロック骨移植による骨造成、結合組織移植、インプラント埋入3本、奥歯の部分矯正、セラミックによる被せ物などで、治療期間は1年6ヶ月。費用はおよそ200万円程度。定期的なメンテナンスを行わないと、インプラント周囲炎のリスクがある。

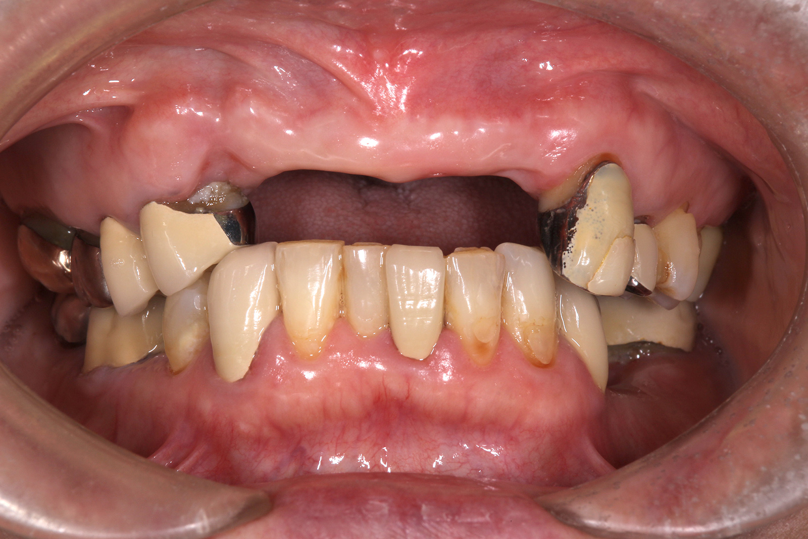
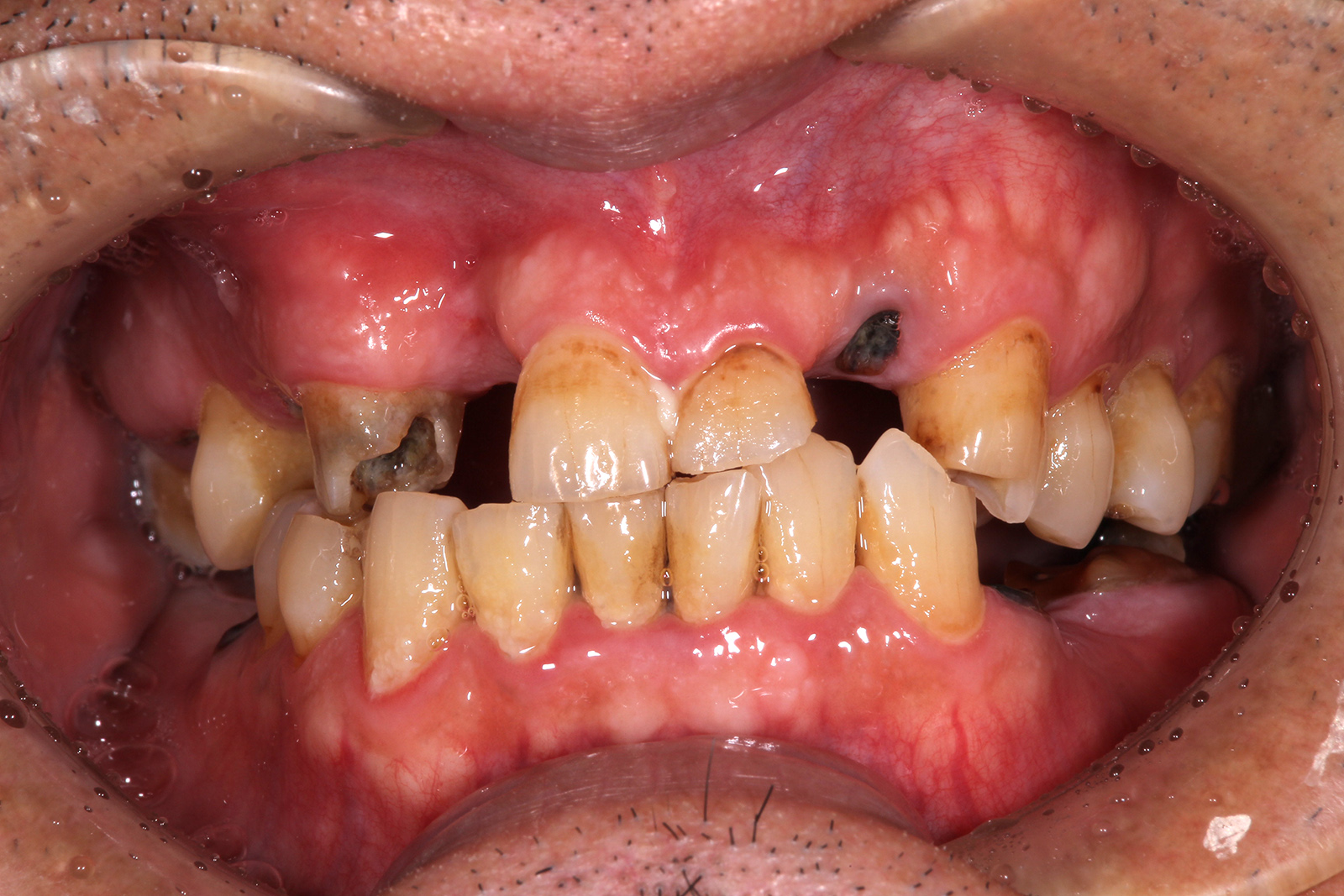
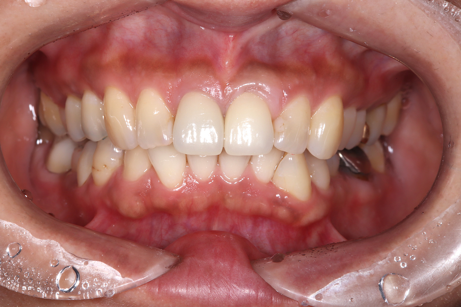
  • 治療前
  • 治療後

お口全体の治療。インプラント治療の他、ブロック骨移植や結合組織移植、全顎矯正などを行った。治療期間は2年6ヶ月ほど。費用はおよそ500万円。定期的なメンテナンスを行わないと、インプラント周囲炎のリスクがある。

歯科恐怖症の方にお勧め「睡眠無痛治療」

画像

インプラントを入れるには、外科手術を行う必要があります。手術中は麻酔が効いているので痛みを感じることはありませんが、手術に苦手意識のある方や、そもそも歯医者が苦手な「歯科恐怖症」の方にとっては、手術そのものが大きなストレスになってしまいます。

こういった患者さんにお勧めしているのが、「睡眠無痛治療(静脈内鎮静法)」です。

鎮静剤を点滴投与することで、患者さんはほぼ眠ったような状態になります。鎮静剤が効いている間に手術を済ませることで、患者さんが痛みを感じることはありません。手術中の記憶もほとんど残らないので、「気付いたら手術が終わっていた」という方がほとんどです。

睡眠無痛治療は、自費診療となります。一般的な歯科医院では、10万円前後の費用がかかりますが、当院では5.5万円で行っています。詳しくは、お問い合わせください。

精度の高い治療を支える「精密機器」

安心・安全なインプラント治療のために、当院ではさまざまな「精密機器」を活用しています。その一部をご紹介します。

CT

画像

インプラントは、人工歯を支える金属の土台を、あごの骨に埋め込む治療です。あごの骨の中には、重要や神経や血管が通っており、これらを傷つけることがないように、慎重な手術が求められます。
当院では、手術前の精密検査で、「CT」であごの骨を撮影します。CTはレントゲンに比べて鮮明な画像が得られるので、骨の中の神経や血管の位置が正確にわかります

コンピュータシミュレーション

画像

CTが撮影したデータを、コンピュータに取り込みます。専用の「シミュレーションソフト」で分析することで、どの大きさのインプラントを、どの位置から、どの角度で入れれば、神経や血管を傷つけずに手術ができるかがわかります。コンピュータが作成した手術プラン通りに手術を行えば、安心・安全な手術が実現します。

マイクロスコープ

画像

マイクロスコープ」は、患部を十数倍に拡大できる、歯科専用の顕微鏡です。マイクロスコープによる拡大視野で手術を行うので、治療の精度も向上します。

ピエゾサージェリー

画像

インプラント治療では、あごの骨に金属の土台を埋め込むので、骨がやせていたり、量が少なかったりすると、手術が難しくなります。このような症例では、当院では「骨造成」という、あごの骨の量を増やす治療を行います。骨造成を行う際に活躍するのが「ピエゾサージェリー」という機械を使います。ピエソサージェリーは、超音波を利用して、骨などの硬い組織を切断する装置です。硬い組織のみ反応し、柔らかい組織には反応しないので、血液や神経を傷つけることがありません

患者さんの負担の少ない術式

画像

抜歯当日に新しい歯が入る「抜歯即時荷重」

画像

一般的なインプラント治療では、歯を抜いて傷口がふさがるのを待ってから手術を行います。このため、治療期間が長くなってしまうという弱点があります。この弱点を解消した術式が、「抜歯即時荷重」です。

抜歯後、歯があった部分の穴に直接インプラントを入れるため、縫合や切開の必要がほとんどなく、治療期間が短くなります。手術の当日に新しい歯が入るため、歯を失ったことによる不便があまりありません。

すべての症例で対応できるわけではありませんが、可能な場合に提案させていただきます。

切らない・縫わない・腫れない術式「フラップレス」

画像

一般的なインプラント手術では、歯茎を切開し、骨に穴を開けてインプラントを埋め込みます。処置後には縫合が必要です。
このため、手術の傷口が回復するまでの時間がかかる上、ある程度の痛みや腫れがあります。
これに対し「フラップレス」という術式では、歯茎を切開しないため、ほとんどの場合に縫合も不要で、手術後に傷口が回復するための時間も短くなり、患者さんの肉体的負担が小さくなります
当院では、抜歯即時荷重を行う場合、フラップレスで行います。

回復を早める「フィブリンゲル」

画像

皆さんの血液には、体の回復を早める「成長因子」という成分が含まれています。患者さんの血液を採取し、専用の遠心分離機にかけることで、成長因子が凝縮された「フィブリンゲル」という物質が生成されます。インプラント手術の後、傷口にフィブリンゲルを入れることで、傷口の回復を大きく早めることができます。

4本のインプラントですべての歯を支える「オールオン4(All-on-4)」

画像

インプラント治療には、決して小さくない費用がかかります。このため、多くの歯を失った方が、すべての歯をインプラントで補おうとすると、莫大な治療費がかかってしまいます。
こういった方にお勧めしている治療法が「オールオン4」です。片あごにつき、最低4本のインプラントで12本の歯を支えるので、費用を抑えることができます。
オールオン4においては、原則的に「抜歯即時荷重」「フラップレス」の術式で行います。このため、多くの歯を失った方であっても、たった1日ですべての歯を取り戻せます

詳しくは、ご相談ください。

画像

他の医院ではインプラント治療ができなかった方へ

画像

インプラント治療では、金属の土台をあごの骨に埋め込みます。このため、骨の量が足りないと、インプラントを入れるのは難しくなってしまいます。このページをご覧になっている方の中にも、「骨が少ないから」という理由で、他院でインプラント治療を断られてしまった方がいらっしゃると思います。

当院では、こういった症例では「骨造成」という、骨の量を増やす治療を行うことで、インプラントに必要な骨の量を確保できます。

骨造成にはさまざまな術式があります。このうち1つ、「ブロック骨移植」という術式を紹介しましょう。

ブロック骨移植

ブロック骨移植」は、主に下あごの奥からブロック状の骨を切り取って、インプラントを入れたい部分に移植する治療法です。移植の際、骨はネジで固定します。個人差はありますが、移植した骨は数ヶ月程度で安定し、インプラントを入れられるようになります。

世界のトップブランドのインプラント

インプラントは、一生使っていただくものです。可能な限り長く使っていただけるよう、当院では、世界中のドクターから信頼される、世界トップブランドのインプラントを厳選して使用しています。

ストローマン

画像

世界シェアNo.1を誇るインプラントメーカーです。インプラント周囲炎(インプラントに起こる歯周病のような症状)が起こるリスクが小さく、10年生存率(10年後にも問題なくインプラントが残っていること)が非常に高いという調査結果があります。

メガジェン

画像

外科的侵襲が少なく、骨との結合が早いメガジェン」を採用しています。
メガジェンは韓国発のインプラントメーカーで、欧米で高いシェアを誇っています。
骨の量が少ない方にも対応しやすく、治療期間の短縮や痛み・腫れの軽減が期待できます。

自由診療に関する表記

費用

インプラント体 286,000円
インプラント上部構造 176,000円
GBR(オプション) 55,000円
サイナスリフト(オプション) 165,000円
ソケットリフト(オプション) 55,000円
結合組織移植(オプション) 55,000円
遊離歯肉移植(オプション) 55,000円
ブロック骨移植(オプション) 165,000円
即時埋入(オプション) 55,000円
CGF(オプション) 22,000円
静脈内鎮静法(オプション) 55,000円
※すべて税込

※お口の状態や施術回数により、必要な治療内容が異なるため、費用が前後する場合があります。

リスク・副作用

インプラント治療は外科処置を伴うため、術後に腫れ・痛み・出血が生じることがあります。
また、骨や歯ぐきの状態によっては、インプラントが十分に定着しない場合や、感染・炎症を起こす可能性があります。
治療後は、定期的なメンテナンスや清掃が必要となります。

初診「個別」相談へのご案内

当院では、患者さんが抱えていらっしゃるお口のお悩みや疑問・不安などにお応えする機会を設けております。どんなことでも構いませんので、私たちにお話ししていただけたらと思います。
ご興味がある方は下記からお問い合わせください。

ご予約・お問い合わせ

047-702-8772

24時間WEB予約

〒279-0012
千葉県浦安市入船1-1-1

新浦安駅直結(アトレ新浦安1階)

このページの先頭に戻る