大人の矯正歯科

キービジュアル

ご予約・お問い合わせ

047-702-8772

WEB予約

院長が「必ず」担当

透明なマウスピース型矯正装置
クリアコレクト」を採用

画像

40万円~治療可能
その他、下記の治療法にも対応しています。

  • ワイヤー矯正
  • コルチコトミー矯正
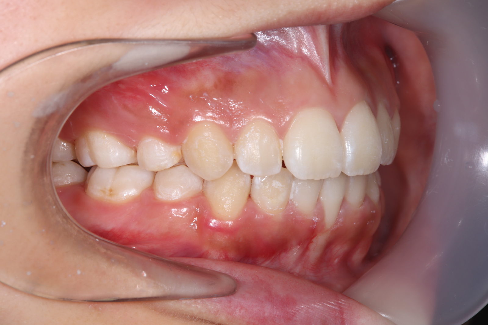
  • 治療前
  • 治療後

主訴:歯並びを治したい
治療期間:3年
治療費:120万円
治療内容:全顎矯正治療、SMAP(プレートタイプ矯正用アンカー)使用
治療のリスク:リテーナーを使用しないと後戻りの可能性がある

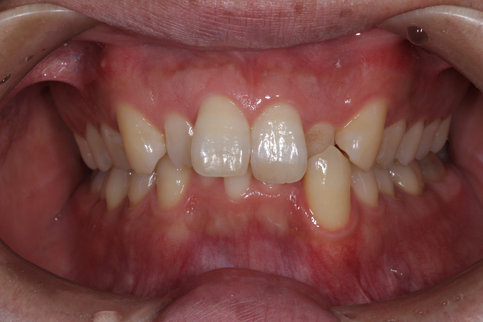
  • 治療前
  • 治療後

主訴:歯並びを治したい
治療期間:2年
治療費:120万円
治療内容:全顎矯正治療(非抜歯)、皮質骨切り、骨移植
治療のリスク:リテーナーを使用しないと後戻りの可能性がある

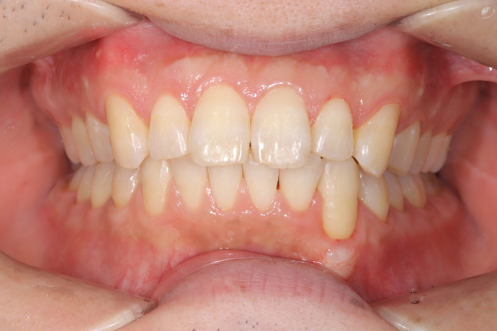
  • 治療前
  • 治療後

主訴:歯並びを治したい
治療期間:2年6ヶ月
治療費:120万円
治療内容:矯正治療、スピード矯正(上下皮質骨切り、上顎急速拡大)
治療のリスク:保定装置を使用しないと後戻りの可能性がある

マウスピース矯正だけではなく、ワイヤー矯正や外科矯正にも対応

当院では、透明で目立ちにくいマウスピース型矯正装置をはじめ、ワイヤー矯正外科矯正にも対応しています。患者さんのお口の状態、ニーズに合わせて、最適だと考えられる治療方法をご提案させていたあきます。それぞれ、詳しくご紹介します。

マウスピース型矯正装置

画像

最近では、マウスピース型矯正装置を希望される方が多くなっています。ご存じの方も多いかもしれませんが、マウスピース型矯正装置には次の特徴があります。

透明で目立ちにくい
自分で取り外しできる
20時間以上の装着が必要

当院でも、マウスピース型矯正装置による治療を行っています。当院が行うマウスピース矯正の特徴についてご紹介します。

特徴1「世界水準」のメーカーのみ採用

画像

マウスピース型矯正装置には多くのメーカーが存在し、選択するメーカーによって治療の質や適応する症例に差が出ます。当院では、世界各国で使用されている「クリアコレクト」を採用しています。世界中の多数の医師に認められていることは、その品質と信頼性が高いことを意味します。

特徴2「光学スキャナ」を完備

画像

以前の矯正治療では、印象材と呼ばれるものを使用して歯型を採取していました。印象材による型取りは、患者さんへの負担が大きい上に、「精度」についても歯科医師の技術に依存するため、一定しない場合がありました。

当院では「光学スキャナ」を導入しています。光学スキャナは、ペン型のカメラをお口にいれるだけで、スピーディーに精密な歯型を取ることが可能です。

また、歯型を取る際に患者さんの負担も少なく、快適に治療を進めることができます。

特徴3「幅広い症例に」対応できる

現在、日本国内外にあるマウスピースメーカーは100社以上だと言われています。一部のマウスピースメーカーでは、前歯の部分矯正のみに対応している場合がありますが、当院で採用しているクリアコレクトは、前歯の部分矯正だけでなく、全体的な歯列矯正も実施することができます。

画像

注意!マウスピース矯正で歯が動かない等の問題が起きています

画像

マウスピース矯正では、AI(人工知能)が治療の大部分を担当するため、ワイヤー矯正と比べると、歯科医師が直接治療に介入する機会は少なくなります。

患者さんの中には「AIが治療を進行するのだから精度に問題はないだろう」と考える方もいるかもしれませんが、AIだからといって完璧な治療は行えません。時には人の手での微調整が必要となるケースがあります。この微調整が行われないと、計画通りに歯が動かないなどの問題が生じる可能性があります。

近年、このような微調整を怠る、またはその専門知識が不足している歯科医院が存在し、他院で矯正治療を再度行う必要に迫られる患者さんが増えているようです。治療を選ぶ際には、費用だけでなく、担当する歯科医師の経験や取り扱い症例の実績をしっかりと確認することをおすすめします。

ワイヤー矯正にも対応しています

画像

矯正治療で、オーソドックスな治療法と言えるワイヤー矯正にも対応しています。ブラケットにワイヤーを通し、歯に力を加えることで、歯並びを整えていきます。マウスピース矯正よりも、幅広い症例に対応しており、難症例と呼ばれるケースでも治療できることがあります。

画像

また、ワイヤーを裏側(舌側)に装着して歯を動かす、裏側矯正も可能です。一般的なワイヤー矯正は目立ちやすいという特徴がありますが、裏側矯正の場合、目立ちにくく、周囲の視線も気になりません。

「部分矯正」や「後戻り矯正」も可能です

画像

当院では、患者さんのさまざまな要望にお応えするために、「部分矯正」や「後戻り矯正」も行っております。それぞれご説明します。

気になる部分だけ治療したい方向けの「部分矯正」

画像

「気になる前歯だけ矯正したい」
「すきっ歯の部分だけ治療したい」
そうした方におすすめなのが、部分矯正です。部分矯正は、一般的な矯正治療を比べて、短期間で終えられることが多く、費用も抑えられるため、患者さんの負担が少ない治療方法と言えます。

歯並びが戻ってしまった方向けの「後戻り矯正」

画像

後戻りが起こる原因の多くは「リテーナー(保定装置)」をしっかり装着しなかったことにあります。例えばですが、体が傷ついた際に自然と回復するのと同じように、歯には何もしなければ「元の位置に戻ろうとする力」が存在します。 そのため、リテーナーの着用が不十分だと後戻りが起こってしまうのです。

当院では、後戻りしてしまった方向けの治療も行っています。治療費や治療期間について不安を感じていらっしゃる方もいるかもしれませんが、多くの場合、部分矯正と同じくらいの費用と期間で治療を終えられる方がほとんどです。

治療期間の短縮を叶える「外科矯正」

画像

矯正治療には、外科処置を伴う治療法があります。当院では、「コルチコトミー矯正」にも対応しています。詳しくご説明します。

コルチコトミー矯正

画像

コルチコトミー矯正はスピード矯正とも呼ばれる治療法です。一般的に矯正治療は2年~3年かかると言われていますが、コルチコトミー矯正は治療期間を数か月~1年ほど短縮できます。

具体的には、歯茎の中にある歯槽骨(しそうこつ)と呼ばれる歯を支える骨の表面に切り込みを入れることで、治療期間を短縮させます。

切れ込み、つまり、傷をつけることで、骨の代謝を促します。ダメージを負った骨は元の状態に戻ろうと回復力が働くので、この回復力と矯正力を合わせることで、歯そして骨を一気に動かすことができます。

さらに、骨はダメージを受けると、回復前よりも強くなる性質があります。コルチコトミー矯正は治療期間の短縮だけではなく、矯正後の後戻りの軽減、歯根吸収のリスク軽減というメリットもあります。

初診「個別」相談へのご案内

当院では、患者さんが抱えていらっしゃるお口のお悩みや疑問・不安などにお応えする機会を設けております。どんなことでも構いませんので、私たちにお話ししていただけたらと思います。
ご興味がある方は下記からお問い合わせください。

ご予約・お問い合わせ

047-702-8772

24時間WEB予約

〒279-0012
千葉県浦安市入船1-1-1

新浦安駅直結(アトレ新浦安1階)

このページの先頭に戻る